Des chercheurs de l’Inserm, de l’université de Paris et du CEA ont mis au point une nouvelle méthode pour diagnostiquer les patients atteints de la maladie d’Alzheimer. Selon les scientifiques, elle permettrait d’obtenir de meilleurs résultats que les techniques de diagnostic traditionnelles, mais également de suivre les différents stades de la maladie chez les patients.
La maladie d’Alzheimer, dont la journée mondiale a lieu ce samedi 21 septembre, est une maladie neurodégénérative qui touche plus de 747 000 personnes selon la Société Alzheimer de Québec. D’ici 15 ans, 1,4 million de Canadiens seront concernés par la maladie.
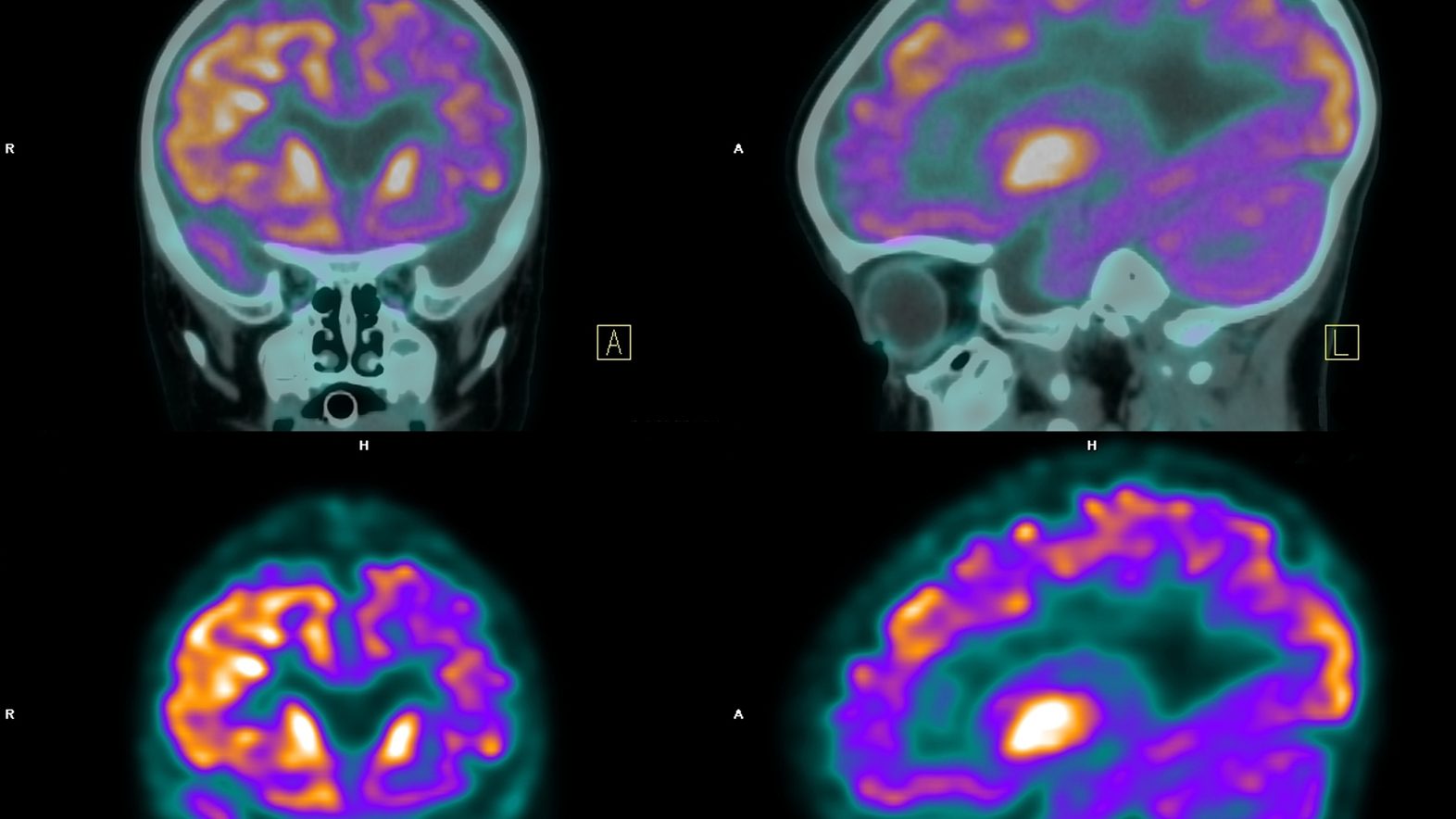
Actuellement, l’étude de l’épaisseur du cortex cérébral via un examen IRM permet d’établir 80% des diagnostics d’Alzheimer, explique une nouvelle étude publiée dans la revue Neurobiology of Aging. Cette recherche détaille une nouvelle méthode de diagnostic qui serait, selon les auteurs de l’étude, non seulement capable de détecter 91% des cas d’Alzheimer, mais également de suivre l’évolution de la maladie et l’ampleur du déclin cognitif dont elle est responsable.
L’idée des scientifiques consiste à étudier les sillons corticaux, des circonvolutions du cerveau qui en vieillissant ont tendance à s’élargir et du même coup, diminuent l’épaisseur du cortex. D’après de précédentes recherches dirigées par Maxime Bertoux, chercheur à l’Inserm et auteur principal de cette nouvelle étude, l’élargissement des sillons corticaux est plus rapide chez les malades de l’Alzheimer. L’étape suivante était donc de déterminer si ce phénomène pouvait constituer un élément pour identifier la maladie.
Plus les sillons corticaux étaient larges, plus le déclin cognitif du patient était avancé
L’étude a nécessité la participation de 51 patients diagnostiqués d’Alzheimer (à un stade précoce ou avancé), ainsi que sur 29 personnes non concernées par la maladie. Les participants ont passé plusieurs examens dont une IRM et une ponction lombaire. Les chercheurs ont ensuite utilisé les IRM pour créer un modèle de cerveau numérique à base d’un logiciel baptisé Morphologist, développé au centre de neuro-imagerie Neuropsin.
Cette technique a permis d’explorer 18 régions de chaque hémisphère cérébral et d’évaluer la largeur et l’épaisseur de leurs sillons. Les scientifiques ont également effectué les mesures usuelles du volume de plusieurs régions cérébrales et de l’épaisseur du cortex, afin de comparer les méthodes. Enfin, ils ont utilisé un algorithme afin de comparer et d’évaluer l’état de santé de chaque participant (y compris les personnes non malades).
Les résultats montrent que non seulement la maladie d’Alzheimer était plus souvent détectée dans les sillons corticaux, mais également que la morphologie de ces derniers évoluait en même temps que la maladie : plus les sillons corticaux étaient larges, plus le déclin cognitif du patient était avancé.
«Ces mesures reflétant l’évolution de la maladie apparaissent corrélées à la performance cognitive, ce qui peut être très utile lors d’essais cliniques évaluant l’efficacité d’un potentiel médicament. De plus, ces mesures ne nécessitent qu’une IRM et une analyse largement automatisée qui peuvent être réalisées dans de nombreux centres de soin. Cette technique doit encore être validée sur de plus grands échantillons de patients, mais elle pourrait avoir un grand intérêt sur le plan clinique», estime Maxime Bertoux.
